Răng mọc lộn xộn thì nên chọn niềng răng hay bọc sứ?
Răng mọc lộn xộn không chỉ khiến nụ cười mất đi sự hài hòa mà còn là nguyên nhân dẫn đến nhiều vấn đề răng miệng như sâu răng, viêm nướu, hôi miệng hay sai lệch khớp cắn. Không ít người băn khoăn nên niềng răng hay bọc sứ để khắc phục tình trạng này nhanh và hiệu quả hơn.
Trên thực tế, mỗi phương pháp đều có ưu, nhược điểm riêng, phù hợp với từng mức độ lệch răng và nhu cầu thẩm mỹ khác nhau. Bài viết dưới đây sẽ giúp bạn hiểu rõ hơn về nguyên nhân gây răng lộn xộn và những giải pháp khắc phục tình trạng này hiệu quả nhất.

1. Nguyên nhân khiến răng lộn xộn
Răng lộn xộn có thể xuất hiện từ rất sớm, thường bắt đầu trong giai đoạn răng sữa hoặc thời kỳ thay răng vĩnh viễn. Nếu không được phát hiện và can thiệp kịp thời, tình trạng này có thể trở nên nghiêm trọng hơn khi trưởng thành, ảnh hưởng đến cả thẩm mỹ và chức năng ăn nhai. Dưới đây là những nguyên nhân phổ biến nhất dẫn đến hiện tượng răng mọc chen chúc, sai vị trí.
Di truyền
Yếu tố di truyền đóng vai trò lớn trong sự hình thành và phát triển của răng. Nếu trong gia đình có bố mẹ hoặc người thân mắc các vấn đề như hàm nhỏ, cung răng hẹp, khớp cắn lệch hoặc răng hô, móm thì khả năng con cái gặp tình trạng tương tự là rất cao.
Cấu trúc xương hàm và kích thước răng là những đặc điểm có thể được truyền từ thế hệ này sang thế hệ khác. Khi kích thước răng quá lớn so với cung hàm, các răng sẽ không đủ chỗ để mọc ngay ngắn, dẫn đến chen chúc, xoay lệch hoặc chồng chéo lên nhau.
Bên cạnh đó, di truyền còn ảnh hưởng đến mật độ xương, độ cứng men răng và sự phát triển của khớp cắn.
Thói quen xấu khi nhỏ
Thói quen như mút tay, đẩy lưỡi, ngậm ti giả có thể làm thay đổi hình dạng cung hàm, khiến răng mọc lệch lạc, không đều
Những thói quen tưởng chừng vô hại trong giai đoạn trẻ nhỏ lại là nguyên nhân phổ biến khiến răng mọc sai vị trí. Các thói quan như mút tay, ngậm ti giả, đẩy lưỡi, cắn môi hoặc thở bằng miệng nếu kéo dài có thể làm thay đổi cấu trúc xương hàm và hướng mọc răng.
Nếu những thói quen này không được điều chỉnh sớm, chúng có thể để lại hậu quả lâu dài, khiến trẻ phải mất nhiều thời gian và chi phí hơn khi chỉnh nha về sau.
Mất răng sữa quá sớm hoặc quá trễ
Răng sữa giữ vai trò “giữ chỗ” cho răng vĩnh viễn mọc đúng vị trí. Khi răng sữa rụng sớm do sâu răng, chấn thương hoặc nhổ bỏ, khoảng trống này thường bị các răng kế cận xô lệch lấn vào, khiến răng vĩnh viễn sau này không còn đủ chỗ để mọc thẳng.
Ngược lại, nếu răng sữa tồn tại quá lâu, răng vĩnh viễn phải mọc lệch hướng, chen chúc hoặc mọc ngầm dưới nướu. Tình trạng này thường gặp ở trẻ có quá trình thay răng chậm hoặc răng sữa bám chắc bất thường.
Chính vì vậy, việc theo dõi quá trình thay răng ở trẻ em và khám nha định kỳ là rất quan trọng để đảm bảo răng vĩnh viễn mọc đúng vị trí, hạn chế nguy cơ răng lộn xộn sau này.
Xương hàm phát triển bất thường
Sự phát triển không cân đối giữa xương hàm trên và hàm dưới là nguyên nhân sâu xa gây lệch khớp cắn và răng lộn xộn. Khi hàm trên phát triển quá mức, răng thường có xu hướng hô ra ngoài; ngược lại, nếu hàm dưới phát triển mạnh hơn, khuôn mặt sẽ bị móm, răng mọc ngược và sai lệch khớp cắn nghiêm trọng.
Răng lộn xộn thường không chỉ do một nguyên nhân duy nhất mà là kết quả của nhiều yếu tố phối hợp. Việc nhận biết sớm và điều trị đúng cách từ nhỏ sẽ giúp ngăn ngừa tình trạng lệch lạc tiến triển nặng hơn, đồng thời tiết kiệm thời gian và chi phí chỉnh nha khi trưởng thành.
2. Hậu quả của răng lộn xộn
2.1. Sai lệch khớp cắn, ảnh hưởng đến chức năng ăn nhai
Khi răng mọc lộn xộn, khớp cắn giữa hai hàm sẽ không còn khớp chuẩn. Khiến lực nhai phân bổ không đồng đều, một số răng phải chịu áp lực lớn hơn mức bình thường, lâu dần dễ bị mòn men, gãy hoặc lung lay. Điều này không chỉ gây ra khó khăn trong việc tiêu hóa mà còn có thể dẫn đến các vấn đề về hệ tiêu hóa như viêm dạ dày và viêm ruột non.
2.2. Khó vệ sinh răng miệng, dễ mắc bệnh lý nha chu
Răng lộn xộn sẽ dễ tạo điều kiện cho các bệnh lý sâu răng, viêm nướu, viêm nha chu,...
Răng lộn xộn khiến việc chải răng và làm sạch kẽ răng trở nên khó khăn. Bàn chải khó tiếp cận những vị trí răng bị xoay hoặc khấp khểnh, tạo điều kiện cho mảng bám và vi khuẩn tích tụ. Lâu dần, điều này dẫn đến các bệnh lý răng miệng phổ biến như sâu răng, viêm nướu, viêm nha chu, hôi miệng gây mất tự tin.
2.3. Ảnh hưởng đến thẩm mỹ
Răng lộn xộn sẽ gây ảnh hưởng không tốt tới tính thẩm mỹ khuôn mặt. Người có răng mọc lộn xộn thường cảm thấy tự ti khi giao tiếp và thiếu tự tin trong cuộc sống hàng ngày.
2.4. Gây tổn thương đến xương hàm
Sự sai lệch trong sắp xếp răng khiến khớp cắn mất cân bằng, tạo áp lực lớn lên cơ nhai và khớp thái dương hàm. Khi lực nhai bị dồn về một phía trong thời gian dài, xương hàm có thể bị mòn, biến dạng gây tổn thương. Người bệnh có thể cảm thấy đau khi há miệng, mỏi cơ mặt, thậm chí đau lan lên vùng đầu và tai. Nặng hơn, răng mọc lộn xộn còn có thể gây viêm lợi, tụt nướu, lộ chân răng khiến cho răng yếu dần theo thời gian.
3. Các phương pháp phục hình răng lộn xộn hiệu quả và an toàn
Để khắc phục tình trạng răng mọc lộn xộn chen chúc, sai lệch hay không đều, việc lựa chọn phương pháp điều trị phù hợp là yếu tố quyết định đến hiệu quả và độ an toàn lâu dài cho răng miệng. Dưới đây là 2 phương pháp phổ biến, được bác sĩ đánh giá cao trong việc khắc phục răng lộn xộn hiện nay.
3.1. Bọc răng sứ
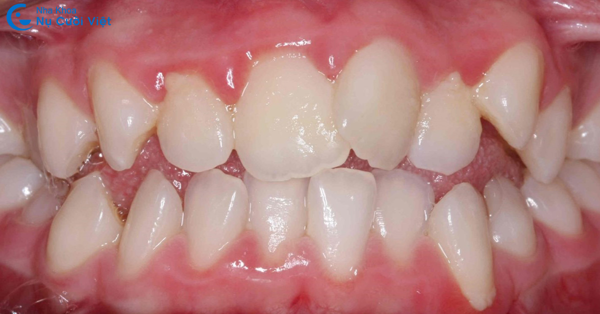
Với những trường hợp răng mọc lệch nhẹ, chen chúc ít hoặc chủ yếu cần cải thiện thẩm mỹ bề mặt, bọc răng sứ là lựa chọn giúp nụ cười trở nên đều đẹp trong thời gian ngắn. Phương pháp này thực hiện bằng cách mài một lớp men răng mỏng bên ngoài, sau đó chụp mão sứ được thiết kế riêng theo màu sắc và hình dáng răng thật.
Bọc sứ áp dụng hiệu quả cho những trường hợp răng lộn xộn, lệch lạc nhẹ
Điểm mạnh của bọc sứ là thời gian thực hiện nhanh chóng, chỉ từ 2-3 buổi hẹn là có thể hoàn thiện. Không chỉ giúp răng đều hơn, phương pháp này còn che đi các khiếm khuyết như răng xỉn màu, sứt mẻ hay thưa răng, mang lại nụ cười trắng sáng và tự tin. Tuy nhiên, vì có can thiệp lên men răng thật, bọc sứ cần được bác sĩ đánh giá kỹ lưỡng để bảo tồn tối đa mô răng và tránh các biến chứng về sau.
3.2. Niềng răng thẩm mỹ
Đối với những răng lệch lạc, chen chúc hoặc sai khớp cắn, niềng răng thẩm mỹ là phương pháp hiệu quả, giúp răng đều đẹp và ổn định lâu dài. Niềng răng sử dụng các khí cụ như dây cung, mắc cài hoặc khay trong suốt để từ từ di chuyển răng về vị trí chuẩn trên cung hàm, vừa cải thiện thẩm mỹ vừa cân bằng chức năng nhai và bảo vệ răng thật.
Hiện nay, niềng răng có hai phương pháp phổ biến: niềng răng mắc cài truyền thống và niềng răng Invisalign hiện đại, mỗi phương pháp đều có ưu nhược điểm riêng, phù hợp với từng nhu cầu và mức độ lệch răng.
Niềng răng mắc cài - Giải pháp truyền thống, hiệu quả tối ưu
Niềng răng mắc cài là phương pháp niềng răng truyền thống và là lựa chọn hàng đầu cho các trường hợp răng lệch nặng hoặc khớp cắn phức tạp. Hệ thống mắc cài (kim loại, sứ hoặc tự buộc) kết hợp với dây cung tạo lực kéo, giúp răng dịch chuyển từ từ về vị trí mong muốn trên cung hàm.
Ưu điểm:
-
Hiệu quả cao, kiểm soát lực chỉnh nha tốt, phù hợp mọi độ tuổi và mức độ lệch răng.
-
Quá trình điều trị thường kéo dài từ 18-30 tháng, tùy tình trạng răng từng người.
Nhược điểm:
-
Mắc cài lộ rõ khi cười, tính thẩm mỹ chưa cao.
-
Cần vệ sinh kỹ để tránh mảng bám và viêm nướu.
Niềng răng Invisalign - Phương pháp chỉnh nha hiện đại, thoải mái và thẩm mỹ tối đa
Với kinh nghiệm thành công thay đổi nụ cười cho 20 triệu bệnh nhân Invisalign toàn cầu, bạn hoàn toàn có thể “chọn mặt gửi vàng” vào Invisalign cho hành trình chỉnh nha để khắc phục tình trạng răng lộn xộn của mình
Phương pháp này sử dụng các khay niềng trong suốt được thiết kế riêng biệt cho từng người thông qua công nghệ quét 3D và phần mềm mô phỏng AI hiện đại. Mỗi bộ khay sẽ được thay định kỳ để răng dịch chuyển dần dần về vị trí mong muốn.

Niềng răng thẩm mỹ để khắc phục tình trạng răng lộn xộn
Bằng công nghệ hiện đại, Invisalign không chỉ mang lại kết quả dự đoán chính xác, mà còn giúp hội đồng niềng sở hữu nụ cười hoàn hảo bởi nhiều ưu điểm vượt trội:
-
Khay trong suốt 100%, thẩm mỹ tối ưu;
-
Mỏng nhẹ và thoải mái, đem lại cảm giác như không đeo niềng;
-
Tháo lắp dễ dàng, thuận tiện khi ăn uống và vệ sinh răng miệng hàng ngày;
-
Giảm tối đa cảm giác đau hoặc khó chịu trong suốt thời gian niềng;
Hạn chế:
-
Chi phí cao hơn so với niềng mắc cài truyền thống.
-
Yêu cầu tuân thủ nghiêm ngặt thời gian đeo khay (20-22 tiếng/ngày) để đạt hiệu quả tối ưu.
Mỗi phương pháp đều có ưu và nhược điểm và mức độ can thiệp khác nhau. Việc lựa chọn cách điều trị răng lộn xộn phù hợp phụ thuộc vào mức độ sai lệch răng, độ tuổi, nhu cầu thẩm mỹ, thời gian và khả năng tài chính của từng người. Điều quan trọng nhất là thăm khám với bác sĩ chuyên khoa chỉnh nha, để được tư vấn phác đồ điều trị chính xác, đảm bảo an toàn và hiệu quả lâu dài.
Hy vọng, bài viết trên đây đã giúp bạn hiểu rõ hơn về nguyên nhân và cách khắc phục răng mọc lộn xộn bằng hai phương pháp phổ biến nhất là niềng răng và bọc sứ thẩm mỹ. Nếu bạn đang băn khoăn không biết tình trạng của mình phù hợp với phương pháp nào, hãy đến Nha khoa Nụ Cười Việt để được bác sĩ trực tiếp thăm khám, chụp phim và tư vấn hướng điều trị tối ưu nhất.
Tin liên quan
Tẩy trắng răng có làm hại đến men răng không?
Xu hướng Việt kiều về nước làm răng: Nha khoa lo trọn hành trình, bà con chỉ việc an tâm cười đẹp
Làm răng cận Tết: 3 lưu ý quan trọng để kịp đón Tết an tâm
Nhổ răng xong bao lâu thì trồng lại được? Nếu không trồng thì có sao không?
Lấy tủy răng có ảnh hưởng gì không? Tác hại khi lấy tủy răng sai cách và cách hạn chế rủi ro bạn cần biết?
3 giai đoạn viêm tủy răng bạn cần nắm để điều trị kịp thời
>







