Răng sứ Emax là gì? Có tốt không? Giá bao nhiêu?
Sứ Emax là chất liệu sứ cao cấp được sử dụng phổ biến trong phục hình thẩm mỹ nhờ sự kết hợp hài hòa giữa tính thẩm mỹ, độ bền và độ an toàn sinh học cao. Được nhập khẩu từ châu Âu và sản xuất theo công nghệ hiện đại, dòng sứ này được nhiều bác sĩ nha khoa đánh giá là “chuẩn vàng” trong phục hình răng sứ.
Cùng Nha khoa Nụ Cười Việt tìm hiểu chi tiết về đặc điểm, ưu điểm và bảng giá răng sứ Emax mới nhất trong bài viết dưới đây.
1. Xuất xứ và thông tin của sứ Emax
Sứ Emax là dòng toàn sứ cao cấp, được cấu tạo 100% từ gốm thủy tinh Lithium Disilicate. Có cấu trúc nguyên khối với hàng triệu tinh thể thủy tinh đan xen nhau để đảm bảo sự đàn hồi, độ bền và được ưa chuộng sử dụng bởi tính thẩm mỹ cao cũng như hình dạng tương tự răng thật.
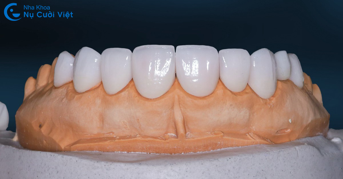
Răng sứ Emax được ưa chuộng bởi tính thẩm mỹ cao
Cấu tạo của Sức Emax gồm hai phần chính:
-
Lớp sườn sứ: được tạo thành từ hàng triệu sợi gốm thủy tinh đan xen bằng công nghệ Glass Ceramic hiện đại, mang lại độ bền chắc cao.
-
Lớp phủ sứ bên ngoài: gồm 5 lớp phủ giúp tăng độ bóng, thấu quang và tạo cảm giác tự nhiên y như men răng thật.
Sự kết hợp này giúp răng toàn sứ Emax vừa bền chắc, tuổi thọ cao, vừa đạt tính thẩm mỹ vượt trội
1.1. Răng sứ Emax của nước nào?
Dòng sứ Emax được nghiên cứu và phát triển bởi Ivoclar Vivadent - tập đoàn vật liệu nha khoa hàng đầu đến từ Đức, được thành lập từ năm 1990.
Trải qua hơn 30 năm phát triển, sứ Emax đã có mặt tại hơn 130 quốc gia trên toàn thế giới và được nhiều chuyên gia đánh giá là vật liệu “vàng” trong phục hình thẩm mỹ nha khoa, đảm bảo cả yếu tố bền, đẹp và an toàn sinh học.
1.2. Các loại răng sứ Emax phổ biến hiện nay
Hiện nay, sứ Emax có 3 loại phổ biến là Emax Press, Emax Zirconia và Emax CAD.

Răng Emax có 3 loại là Emax Press, Emax Zirconia và Emax CAD
Emax Press
Răng sứ Emax Press là dòng được cấu tạo từ thủy tinh nguyên khối Lithium Disilicate nên thường được sử dụng để dán sứ, làm cầu răng, trám răng, phục hình trên Implant,... Emax Press sở hữu những ưu điểm vượt trội như:
-
Phục hình cho răng trong hầu hết các trường hợp.
-
Tăng độ thẩm mỹ và che khuyết điểm răng ố vàng.
-
Khả năng chịu lực cao khoảng 3 - 4 lần so với răng thật.
-
Có đa dạng cấp độ màu để khách hàng lựa chọn.
Emax Zirconia
Răng sứ Zirconia là dòng răng sứ được làm từ các khối gốm thủy tinh Fluorapatite. Bên ngoài được bao bọc bởi Zirconium Oxide nên có độ bền và cứng cáp. Ngoài ra, Emax Zirconia còn có các chức năng khác là làm cầu răng sứ với 3 - 4 đơn vị, làm mão đơn lẻ,... Những ưu điểm có thể kể đến của dòng này là:
-
Sự tự nhiên cao, tương tự như răng thật.
-
Độ khít cao, hiệu quả phục hình tốt
-
An toàn đối với cơ thể khi tương thích sinh học cao.
-
Chắc chắn và có độ bền lên đến 500 Mpa.
Emax CAD
Răng sứ Emax CAD sở hữu công nghệ chế tác thế hệ mới CAD/CAM. Các chuyên gia đã đánh giá dòng răng Emax CAD là sản phẩm có thể đáp ứng đầy đủ tiêu chí về độ dày, tính cơ học và tính thẩm mỹ. Một số các ưu điểm nổi bật của dòng răng sứ Emax CAD như:
-
Khả năng chịu được lực tác động lên đến 850 Mpa.
-
Răng trắng sáng và có độ tự nhiên cao.
-
Có thể làm cầu răng sứ với khoảng 4 - 5 đơn vị nhưng không gây ra cản trở trong quá trình ăn uống.
-
Có độ chắc chắn mang lại cảm giác nhai như răng thật.
-
Sử dụng đối với mọi trường hợp (Từ răng sứ cho đến dán sứ veneer siêu mỏng)
2. Ưu điểm răng sứ Emax
Ngay từ khi mới ra mắt đến nay, dòng răng sứ Emax nhận được rất nhiều lời khen và tín nhiệm của các nha sĩ hàng đầu thế giới với những ưu điểm vượt trội:
Tính thẩm mỹ cao, gần như răng thật
Nhờ cấu tạo từ 100% gốm thủy tinh Lithium Disilicate, sứ Emax có độ trong mờ và khả năng tán xạ ánh sáng tự nhiên, giúp màu răng sau phục hình tương đồng gần như hoàn toàn với răng thật.
Khác với sứ kim loại, Emax không bị ánh đục hay xám màu ở cổ răng, không lộ viền nướu đen sau thời gian sử dụng. Đây là yếu tố đặc biệt quan trọng trong các phục hình răng cửa, yêu cầu tính thẩm mỹ cao nhất.
Độ bền và khả năng chịu lực vượt trội
Dù mỏng nhẹ, sứ Emax vẫn có độ chịu lực lên tới 850 MPa, gấp 3-4 lần răng tự nhiên. Điều này giúp người dùng có thể ăn nhai thoải mái, không lo nứt, vỡ hay sứt mẻ trong quá trình sử dụng.
Với khả năng chống mài mòn và biến dạng tốt, Emax đảm bảo duy trì hình dạng và chức năng của răng trong thời gian dài mà không bị giảm hiệu suất nhai.
Độ an toàn sinh học cao
Do không chứa kim loại, răng sứ Emax hoàn toàn không gây kích ứng nướu, không gây phản ứng dị ứng, đồng thời tương thích tốt với môi trường khoang miệng.
Bề mặt sứ trơn láng giúp hạn chế sự bám dính của mảng bám và vi khuẩn, góp phần duy trì sức khỏe răng miệng lâu dài.
Giữ màu ổn định, bền đẹp theo thời gian
Một ưu điểm khác của sứ Emax là khả năng kháng màu và chống bám bẩn cao. Dưới tác động của thực phẩm có màu như cà phê, trà hay rượu vang, răng vẫn giữ được độ sáng bóng và trong mờ ổn định nhiều năm sau phục hình.
Tuổi thọ cao
Tuổi thọ trung bình của răng sứ Emax có thể đạt từ 15-20 năm. Nếu được chăm sóc và duy trì đúng cách, răng có thể bền đẹp hơn nữa mà không cần thay thế sớm.
3. Ứng dụng của răng sứ Emax trong nha khoa thẩm mỹ
Hiện nay, bọc răng sứ được xem là giải pháp thẩm mỹ răng miệng được ưa chuộng sử dụng. Ngoài khả năng phục hồi các răng bị hư hỏng, sâu vỡ, bọc sứ còn đem lại hiệu quả thẩm mỹ cao. Một số trường hợp ứng dụng bọc răng sứ Emax vào phục hình thẩm mỹ:
Răng có cấu trúc hoặc hình dạng bất thường: Răng có sự bất thường về cấu trúc và hình dạng sẽ gây ra các khó khăn, trở ngại trong ăn uống. Nếu tình trạng này xảy ra trong thời gian dài, răng sẽ bị sâu hoặc hư hỏng nghiêm trọng.
Răng hư hoặc bị chết tủy: Răng có dấu hiệu hư hỏng hoặc chết tủy có nguy cơ cao sẽ gây ra mòn gãy,...
Răng bị xỉn màu: Răng bị xỉn màu hầu hết là do thường xuyên sử dụng thuốc lá, kháng sinh tetracycline,...
4. Sứ Emax giá bao nhiêu tiền?
Tại các nha khoa uy tín, giá sứ Emax thường dao động trong khoảng 6.000.000 - 10.000.000 đồng/răng. Tùy từng nha khoa bạn lựa chọn, mức chi phí có thể khác nhau, ngoài ra có thể tùy vào loại điều trị phục hình mà khách hàng lựa chọn là dán sứ veneer hay bọc răng sứ.
Tại Nha khoa Nụ Cười Việt, bọc răng sứ Emax Ultrathin Đức có giá 10.000.000 đồng/ răng, nếu chọn dán sứ veneer Emax thì sẽ có giá từ 6.000.000 đồng/ đến 10.000.000 đồng/ răng. Mức giá này đã bao gồm trọn gói răng sứ với thẻ bảo hành đầy đủ. Đặc biệt, ở một số trường hợp có chương trình ưu đãi thì mức giá có thể thấp hơn so với bảng giá niêm yết.
Xem thêm bảng giá răng sứ chi tiết của Nha Khoa Nụ Cười Việt
5. Điều trị phục hình thẩm mỹ với răng sứ Emax tại Nha khoa Nụ Cười Việt:
Với gần 20 năm hoạt động trong lĩnh vực nha khoa thẩm mỹ, Nha khoa Nụ Cười Việt đã đồng hành cùng hàng nghìn khách hàng trong hành trình tái tạo nụ cười tự tin bằng các giải pháp răng sứ cao cấp, nổi bật là phục hình các dòng sứ Emax.
5.1. Đội ngũ bác sĩ giàu kinh nghiệm, trình độ chuyên môn cao:
Quy trình điều trị phục hình thẩm mỹ với sứ Emax tại Elite được thực hiện bởi đội ngũ bác sĩ Nụ Cười Việt có nhiều kinh nghiệm thực hành chuyên sâu, đảm bảo thành công về mặt thẩm mỹ và chức năng ăn nhai cho khách hàng.
5.2. Máy móc công nghệ hiện đại - Quy trình chuẩn mực:
Răng sứ thẩm mỹ tại Nụ Cười Việt sẽ được thiết kế thông qua sự hỗ trợ của ứng dụng công nghệ số Smile Design cho hình dáng răng, đường cười, các thông số thẩm mỹ phù hợp với tổng thể khuôn mặt, mang lại kết quả nụ cười hoàn hảo.
Hệ thống máy cắt 5D Deprag W52 hỗ trợ trong lộ trình số hóa toàn diện dịch vụ phục hình răng sứ hướng đến tiêu chuẩn điều trị hiện đại và tối ưu trải nghiệm khách hàng. Đặc biệt công nghệ CAD/CAM và vật liệu sứ cao cấp làm tăng tốc độ chế tác răng sứ, giúp hoàn thiện phục hình nhanh chóng chỉ sau 3h phù hợp cho khách hàng du lịch nha khoa.

Với đội ngũ kỹ thuật viên Labo hơn 15 năm kinh nghiệm ngay tại nha khoa, răng sứ được chế tác tỉ mỉ bằng công nghệ nung sứ đa lớp, mang lại kết quả sắc nét, bền chắc và tự nhiên như răng thật.
5.3. Tư vấn tận tình - chăm sóc tận tâm
Không chỉ chú trọng kỹ thuật và công nghệ, Nụ Cười Việt luôn đặt trải nghiệm khách hàng ở vị trí trung tâm. Đội ngũ nhân viên và bác sĩ luôn lắng nghe, tư vấn rõ ràng, theo sát khách hàng từ giai đoạn thăm khám, điều trị cho đến sau khi phục hình hoàn tất giúp răng sứ Emax được duy trì độ bền và tính thẩm mỹ lâu dài.
Hy vọng những thông tin trên đã giúp bạn hiểu rõ hơn về đặc điểm và ưu điểm vượt trội của răng sứ Emax. Nếu bạn đang băn khoăn chưa biết nên lựa chọn loại răng sứ nào phù hợp với tình trạng răng và mong muốn thẩm mỹ của mình, liên hệ Nha khoa Nụ Cười Việt để được các bác sĩ chuyên môn tư vấn chi tiết và đưa ra giải pháp tối ưu nhất!
Xem thêm: Bọc sứ 2 răng cửa giá bao nhiêu? Khi nào nên thực hiện?
Tin liên quan
Niềng răng có cần phải nhổ răng khôn không? Trường hợp nào cần nhổ
Mài răng bọc sứ có làm răng thật yếu đi không, có đau không?
Hậu quả bọc răng sứ giá rẻ: Nắm ngay để tránh ảnh hưởng đến sức khỏe răng miệng của bạn
Trẻ 3 tuổi có trám răng được không?
Răng mọc lộn xộn thì nên chọn niềng răng hay bọc sứ?
6 triệu chứng mọc răng khôn dễ nhận biết nhất
>







