Răng đang đau nhức thì nhổ được không? Khi nào nên và không nên nhổ?
Nhổ răng thường được xem là giải pháp giúp chấm dứt nhanh cơn đau răng. Tuy nhiên, không phải răng đang đau lúc nào cũng có thể nhổ ngay. Việc nhổ răng cần được cân nhắc dựa trên nguyên nhân gây đau, mức độ viêm nhiễm và tình trạng mô quanh răng. Nếu nhổ sai thời điểm, người bệnh có thể đối mặt với nhiều biến chứng nguy hiểm.
Bài viết dưới đây sẽ giúp bạn hiểu rõ răng đang đau nhức có nhổ được không, khi nào nên nhổ, khi nào không và đâu là cách xử lý an toàn theo góc nhìn của bác sĩ nha khoa.

1. Nguyên nhân gây đau răng
Đau nhức răng là tình trạng phổ biến, nhưng mỗi nguyên nhân đau răng sẽ dẫn đến hướng điều trị hoàn toàn khác nhau. Việc xác định đúng nguyên nhân là yếu tố then chốt để quyết định có nên nhổ răng hay không.
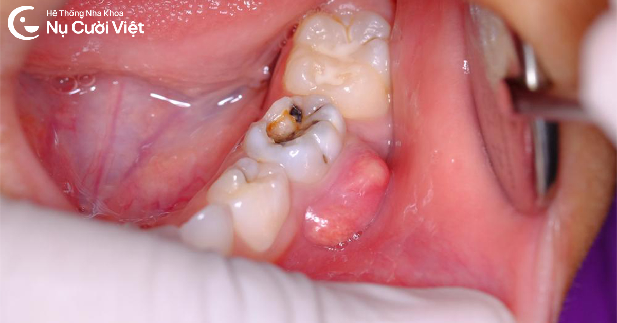
Sâu răng
Sâu răng hình thành khi vi khuẩn trong khoang miệng phân hủy đường và tinh bột, tạo ra axit làm phá hủy men răng. Khi lỗ sâu lan xuống ngà răng hoặc tiến sát buồng tủy, người bệnh bắt đầu cảm nhận cơn đau nhức rõ rệt, đặc biệt khi ăn đồ nóng, lạnh hoặc ngọt.
Nếu sâu răng chưa gây viêm nặng, răng vẫn có thể được bảo tồn bằng trám hoặc điều trị tủy. Tuy nhiên, khi mô răng bị phá hủy nghiêm trọng, nhổ răng có thể được cân nhắc.
Răng khôn mọc ngầm, mọc lệch
Răng khôn thường mọc sau cùng và hay thiếu không gian trên cung hàm. Khi răng khôn mọc ngầm hoặc mọc lệch, thức ăn dễ mắc kẹt, gây viêm lợi trùm, sưng đau kéo dài, thậm chí sốt. Đây là nhóm răng đau nhức thường đi kèm chỉ định nhổ, nhưng vẫn cần kiểm soát viêm trước khi can thiệp.

Viêm tủy răng
Tủy răng là nơi chứa mạch máu và dây thần kinh, rất nhạy cảm với kích thích. Viêm tủy thường xuất phát từ sâu răng kéo dài hoặc chấn thương răng.
Về mặt chuyên môn, viêm tủy được chia thành nhiều mức độ: viêm tủy hồi phục, viêm tủy không hồi phục hoặc hoại tử tủy. Không phải trường hợp viêm tủy nào cũng cần nhổ răng. Nếu điều trị đúng thời điểm, nhiều răng viêm tủy vẫn có thể được giữ lại và phục hồi chức năng.
Răng sứt mẻ, gãy vỡ khó phục hồi
Răng có thể bị sứt mẻ hoặc gãy vỡ do tai nạn, va đập mạnh. Khi tổn thương lan tới tủy hoặc chân răng, cơn đau thường xuất hiện liên tục. Trong trường hợp cấu trúc răng bị phá hủy quá nhiều, không còn khả năng phục hồi bằng phương pháp bảo tồn, bác sĩ sẽ cân nhắc chỉ định nhổ răng.
2. Răng đang đau nhức có nhổ được không?
Câu trả lời là: Có thể hoặc không, tùy từng trường hợp cụ thể.
Trong nha khoa, mức độ đau không phải yếu tố quyết định duy nhất. Điều quan trọng hơn là tình trạng viêm tại thời điểm nhổ răng.
2.1. Trường hợp CÓ THỂ nhổ răng dù đang đau
Bác sĩ có thể chỉ định nhổ răng nếu:
-
Cơn đau ở mức nhẹ đến trung bình
-
Mô quanh răng chưa sưng viêm nhiều, không nóng đỏ
-
Không có mủ hoặc nhiễm trùng lan rộng
-
Người bệnh không sốt, không mệt mỏi
-
Thuốc tê vẫn có thể phát huy hiệu quả tốt

Trong những trường hợp này, môi trường mô quanh răng tương đối ổn định, việc nhổ răng có thể tiến hành an toàn. Sau nhổ, cảm giác ê hoặc đau nhẹ vài ngày đầu là phản ứng bình thường và sẽ giảm dần khi vết thương hồi phục.
2.2. Trường hợp KHÔNG nên nhổ răng đang đau
Trên thực tế, không phải cứ đau nhiều là nhổ ngay sẽ tốt. Có những dấu hiệu cho thấy việc nhổ răng cần được trì hoãn để đảm bảo an toàn. Người bệnh không nên nhổ răng ngay nếu đang gặp một hoặc nhiều biểu hiện sau:
-
Vùng răng đau có dấu hiệu sưng to, nóng, đỏ, ấn vào rất đau
-
Xuất hiện mủ, hôi miệng nặng hoặc vị đắng bất thường trong miệng
-
Đau lan rộng lên thái dương, tai, cổ hoặc gây đau đầu kéo dài
-
Có biểu hiện sốt, mệt mỏi, há miệng khó
-
Đau tăng nhiều về đêm, không đáp ứng với thuốc giảm đau thông thường
Những dấu hiệu này cho thấy viêm nhiễm đang ở giai đoạn cấp, mô quanh răng chưa ổn định. Nếu nhổ răng ngay lúc này, nguy cơ chảy máu kéo dài, nhiễm trùng lan rộng hoặc viêm ổ răng khô sẽ cao hơn bình thường.

Trong trường hợp này, bác sĩ sẽ ưu tiên: Kiểm soát viêm và giảm đau; Dẫn lưu ổ nhiễm (nếu cần); Sử dụng thuốc phù hợp. Sau khi tình trạng viêm ổn định, việc nhổ răng sẽ an toàn hơn và ít biến chứng hơn.
3. Nhổ răng khi đang viêm có nguy hiểm không?
Nhổ răng khi tình trạng viêm chưa được kiểm soát có thể dẫn đến nhiều biến chứng như đau kéo dài, viêm ổ răng khô, chảy máu khó cầm hoặc nhiễm trùng lan rộng vùng hàm mặt. Những biến chứng này không chỉ làm chậm quá trình hồi phục mà còn ảnh hưởng đến sức khỏe toàn thân.
Chính vì vậy, trong nha khoa hiện đại, nhổ răng không đặt nặng yếu tố nhanh mà ưu tiên an toàn và tiên lượng lâu dài. Khi viêm được kiểm soát tốt, ca nhổ răng diễn ra nhẹ nhàng hơn, ít đau hơn và quá trình lành thương cũng thuận lợi hơn.
4. Lưu ý quan trọng sau khi nhổ răng đau nhức
Sau nhổ răng, người bệnh cần tuân thủ đúng hướng dẫn của bác sĩ để vết thương lành nhanh và hạn chế biến chứng:
-
Chỉ ăn uống khi thuốc tê đã hết tác dụng
-
Ưu tiên thức ăn mềm, tránh đồ quá nóng hoặc cứng
-
Không súc miệng mạnh, không chạm vào vị trí nhổ răng trong 24 giờ đầu
-
Chườm lạnh trong ngày đầu để giảm sưng, sau đó chườm ấm nếu được chỉ định
-
Dùng thuốc đúng liều, đúng thời gian
-
Tránh hút thuốc lá, rượu bia vì có thể làm chậm lành thương
Nếu xuất hiện đau kéo dài, sưng to hoặc chảy máu bất thường, người bệnh cần tái khám sớm để bác sĩ kiểm tra và có hướng điều trị cần thiết nhất.
Trên thực tế, răng đang đau nhức có nhổ được không không thể quyết định chỉ dựa vào mức độ đau mà bạn cảm nhận. Quyết định nhổ răng cần dựa trên nguyên nhân gây đau, mức độ viêm nhiễm và tình trạng mô quanh răng tại thời điểm thăm khám.
Nhổ răng đúng thời điểm, đúng chỉ định không chỉ giúp kiểm soát cơn đau hiệu quả mà còn hạn chế biến chứng và bảo vệ sức khỏe răng miệng lâu dài. Vì vậy, khi răng đau nhức bất thường, người bệnh nên đến nha khoa để được bác sĩ đánh giá và tư vấn hướng điều trị an toàn nhất nhé!
Tin liên quan
Làm răng sứ đón Tết, trước bao lâu là đẹp?
Điều trị tủy an toàn: Ưu tiên bảo tồn thay vì "diệt tủy"
Thường xuyên chảy máu chân răng khi đánh răng có nguy hiểm không?
Răng đang đau nhức thì nhổ được không? Khi nào nên và không nên nhổ?
Chăm sóc răng miệng dịp Tết: Cách giữ nụ cười khỏe đẹp suốt kỳ nghỉ
Tẩy trắng răng có làm hại đến men răng không?
>







